نکروز آواسکولار چیست
شاید کمتر کسی با نکروز آواسکولار آشنا باشد، منظور از نکروز مرگ بافت استخوانی است که بهدلیل کمبود خونرسانی به استخوان ایجاد میشود. نکروز آواسکولار میتواند منجر به شکستگیهای جزئی در استخوان و در نهایت از بین رفتن استخوان شود. شکستگی استخوان یا در رفتگی مفصل میتواند جریان خون را در بخشی از استخوان قطع کند.
در اغلب مواقع بهدلیل استفاده طولانی مدت از داروهای استروئیدی با دوز بالا و مصرف بیش از حد الکل، افراد دچار نکروز آواسکولار (avn) میشوند. احتمال ایجاد این بیماری در هر فردی وجود دارد؛ اما، در اغلب مواقع بین 30 تا 50 سالگی بیشتر مشاهده شده است.
علائم نکروز آواسکولار
نکروز آواسکولار در مراحل اولیه در اغلب افراد علائمی ندارد. با پیشرفت بیماری، مفصل دچار آسیبدیدگی میشود، و زمانی که روی مفصل فشار میآورید، آسیب بیشتری وارد خواهد شد. در این حالت درد را حتی در حالت خوابیده نیز احساس خواهید کرد. شدت درد از خفیف تا شدید در هر فرد متفاوت است.
درد ناشی از نکروز آواسکولار ممکن است در کشاله ران، ران یا باسن احساس شود. علاوه بر این قسمتهای دیگری مانند شانه، زانو، دست و پا ممکن است تحت تاثیر آن قرار بگیرد. گاهی برخی از افرادی که دچار نکروز آواسکولار هستند، بهصورت دو طرفه این بیماری را تجربه میکنند، بهعنوان مثال دو طرف لگن یا دو طرف زانو.
اگر بهصورت مداوم دچار درد در مفصل هستید و اگر فکر میکنید دچار شکستگی و دررفتگی شدهاید، باید به پزشک متخصص ارتوپدی در تهران مراجعه کنید.

درد مفصل و محدودیت حرکت
یکی از شایعترین علائم نکروز آواسکولار، درد تدریجی مفصل است. این درد میتواند بهصورت مبهم یا شدید بروز کند و معمولاً مفاصلی مانند لگن، زانو یا شانه را درگیر میکند. برخلاف دردهای معمول مفصلی، درد ناشی از نکروز آواسکولار اغلب حتی در حالت استراحت یا هنگام خواب نیز ادامه دارد و با گذشت زمان شدت آن افزایش مییابد.
در مراحل بعدی، دامنه حرکتی مفصل کاهش پیدا میکند و انجام حرکات سادهای مانند خم و راست کردن مفصل دشوار میشود.
تورم و احساس خالی کردن مفصل
در برخی بیماران، تورم خفیف تا متوسط اطراف مفصل دیده میشود. همچنین احساس ناپایداری یا «خالی کردن» مفصل میتواند نشانهای از تخریب بافت استخوانی در اثر نکروز آواسکولار باشد. بروز این علائم نیازمند مراجعه سریع به پزشک است، زیرا تشخیص زودهنگام نقش مهمی در جلوگیری از پیشرفت بیماری دارد.
علل ایجاد نکروز آواسکولار
بیماری نکروز آواسکولار هنگامی رخ میدهد که جریان خون در استخوان قطع شود یا کاهش یابد. کاهش خونرسانی در استخوان میتواند دلایل مختلفی داشته باشد که به شرح زیر است:
- آسیب به استخوان و مفصل: برخی از آسیبهای وارد شده، بهطور مثال دررفتگی در مفصل ممکن است به رگهای خونی اطراف بافت آسیب وارد کند. استفاده از اشعه ایکس برای بیماران سرطانی ممکن است استخوان را ضعیف کرده و به رگهای خونی آسیب وارد کند.
- تجمع چربی در رگهای خونی: چربی میتواند منجر به مسدود شدن رگهای خونی کوچک شود و در نهایت جریان خون به استخوان کاهش پیدا میکند.
- بیماریهای خاص: برخی از بیماریها مانند کمخونی داسی شکل و بیماری گوچر میتواند باعث کاهش جریان خون در استخوان شود.
برای تعداد کمی از افراد ممکن است علت دقیق ایجاد چنین بیماری مشخص نباشد.
عوامل خطرساز در ایجاد بیماری نکروز آواسکولار چیست؟
برخی از عوامل میتواند احتمال خطر این بیماری را افزایش دهد که به شرح زیر است:
- وارد شدن آسیب: برخی از آسیبها مانند در رفتگی مفصل ران یا شکستگی میتواند به عروق خونی بافت اطراف آسیب برساند و جریان خون را به استخوان کاهش دهد.
- مصرف بیش از حد الکل: اگر طی چند سال از الکل استفاده کنید، میتواند باعث رسوب چربی در رگهای خونی شود.
- استفاده از بیس فسفونات: استفاده طولانی مدت از داروهای افزایش تراکم استخوان میتواند منجر به پوکی استخوان فک شود. این عارضه نادر است؛ اما، امکان ایجاد آن در افرادی که دوز بالای این دارو را جهت درمان سرطان استفاده میکنند، وجود دارد.
- درمانهای خاص: برخی از راهکارهای درمانی مانند پرتودرمانی برای سرطان میتواند منجر به تضعیف استخوانها شود. پیوند عضو، بهویژه پیوند کلیه از دیگر مواردی است که میتواند منجر به نکروز شود.
بیماریهایی که با بیماری نکروز مرتبط هستند به شرح زیر است:
- پانکراتیت
- دیابت
- بیماری وچر
- کم خونی داسی شکل
- اچ آی وی یا ایدز
- لوپوس اریتماتوی سیستمیک

درمان نکروز بدون جراحی
هدف از درمان این بیماری جلوگیری از بین رفتن استخوان است، در ادامه هر یک از روشهای درمانی را برای شما ذکر خواهیم کرد:
- داروهای ضد انعقادی غیر استروئیدی: داروهایی مانند ایبوپروفن یا ناپروکسن میتواند در تسکین درد ناشی از نکروز موثر باشد.
- داروهای پوکی استخوان: مصرف داروهایی مانند آلندرونات پیشرفت بیماری نکروز را کاهش میدهد؛ اما، برای همه افراد به این صورت نیست.
- مصرف دارو برای کاهش کلسترول: اگر میزان کلسترول و چربی در خون کاهش یابد، از انسداد رگهای خونی و در نهایت نکروز جلوگیری میکند.
- داروهای رقیقکننده خون: در صورتی که بیمار دچار اختلالاتی در لخته شدن خون باشد، ممکن است داروهای رقیقکننده خون مانند وارفارین برای جلوگیری از لخته شدن خون برای بیمار تجویز شود.
- استراحت کردن: اگر دچار اضافه وزن هستید، باید وزن خود را کم کنید تا فشار زیادی به استخوان آسیبدیده وارد نشود. ممکن است لازم باشد برای بهبودی خود فعالیتهای بدنی خود را محدود کرده یا هنگام راه رفتن از عصا استفاده کنید تا وزن شما به مفصل آسیبدیده فشار وارد نکند.
- تمرینات فیزیوتراپی: تمریناتی که در فیزیوتراپی انجام میگیرد، میتواند به حفظ و بهبود دامنه حرکات کمک کند که باید تحت نظر پزشک انجام گیرد. جراح ارتوپد عملهایی مانند جراحی پارگی تاندون شانه و درمان پارگی رباط صلیبی زانو را نیز انجام میدهد.
- تحریک الکتریکی: جریانهای الکتریکی که برای بیماران مبتلا به نکروز در نظر گرفته میشود، ممکن است منجر به رشد استخوان جدید به جای استخوان آسیبدیده شود.

سایر روشهای درمانی و جراحی نکروز آواسکولار
اغلب افراد تا زمانی که این بیماری پیشرفت نکند ، ممکن است علائمی نداشته باشند. در صورت پیشرفت بیماری و عدم پاسخگوی به روشهای غیر جراحی، درمانهای پیشرفتهتری برای بیماران در نظر گرفته میشود که به شرح زیر است:
- کاهش فشار مرکزی: در این روش درمانی، لایه داخلی استخوان را از بین میبرند. این روش منجر به کاهش درد، تولید بافت استخوانی و رگهای خونی جدید در بیماران میشود.
- پیوند استخوان:این روش میتواند به تقویت استخوانی که تحت بیماری نکروز است، کمک کند. پیوند با استفاده بخشی از استخوان بدن شما انجام میدهند.
- تغییر شکل استخوان (استئومی): قسمتی از استخوان که فشار وزن بر آن است، برداشته میشود تا فشار به قسمت دیگر تغییر کند. تغییر شکل استخوان دیگر اقدامات درمانی مانند تعویض مفصل را به تاخیر میاندازد.
- تعویض مفصل: اگر استخوان آسیب دیده باشد و دیگر روشهای درمانی ذکر شده برای بیمار موثر نباشد ممکن است پزشک راهکار نهایی را یعنی تعویض مفصل را با قطعات فلزی و پلاستیکی تعویض کند.
- درمان دارویی احیا کننده: یک روش نوینی است که از سلولهای بنیادی مغز استخوان خود بیمار استفاده میکنند و درمان را انجام میدهند.
تستها و روشهای تشخیصی نکروز آواسکولار
تشخیص دقیق و بهموقع نکروز آواسکولار اهمیت زیادی در انتخاب روش درمان و حفظ مفصل دارد.
تصویربرداری و بررسی جریان خون
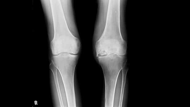
رادیوگرافی یا X-ray معمولاً اولین قدم تشخیصی است و میتواند تغییرات ساختاری استخوان را در مراحل پیشرفته نشان دهد. با این حال، MRI دقیقترین روش برای تشخیص نکروز آواسکولار در مراحل اولیه محسوب میشود، زیرا امکان بررسی جریان خون و بافت استخوان را فراهم میکند. در برخی موارد، سیتیاسکن برای بررسی جزئیات استخوان و برنامهریزی جراحی مورد استفاده قرار میگیرد.
اهمیت تشخیص زودهنگام
اگر نکروز آواسکولار در مراحل اولیه تشخیص داده شود، میتوان با روشهای غیرجراحی از پیشرفت تخریب استخوان جلوگیری کرد. درمان بهموقع باعث کاهش درد، حفظ عملکرد مفصل و کاهش نیاز به جراحیهای پیچیده میشود.
گروههای پرخطر برای ابتلا به نکروز آواسکولار
افرادی که بیشترین خطر را دارند
نکروز آواسکولار بیشتر در افراد ۳۰ تا ۵۰ سال دیده میشود. مصرف طولانیمدت داروهای کورتونی، مصرف مزمن الکل و ابتلا به بیماریهای زمینهای مانند کمخونی داسیشکل، دیابت، لوپوس و اختلالات متابولیک، خطر بروز این بیماری را افزایش میدهند. این عوامل با اختلال در خونرسانی به استخوان، زمینه تخریب تدریجی آن را فراهم میکنند.
اقدامات پیشگیرانه
کنترل وزن، انجام ورزشهای سبک و منظم، محدود کردن مصرف الکل و مدیریت مصرف داروهای استروئیدی تحت نظر پزشک، از مهمترین راهکارهای پیشگیری از نکروز آواسکولار هستند. همچنین معاینات دورهای توسط پزشک ارتوپد میتواند به تشخیص زودهنگام کمک کند.
پیشگیری و مراقبتهای اولیه در نکروز آواسکولار
اقدامات عملی
فعالیت بدنی مناسب و کنترل وزن باعث کاهش فشار روی مفاصل و استخوانها میشود. تمرینات سبک و کششی، گردش خون استخوان را بهبود میبخشند و نقش مهمی در پیشگیری از پیشرفت نکروز آواسکولار دارند. همچنین کاهش مصرف الکل و دخانیات به حفظ سلامت عروق خونی کمک میکند.
رعایت سبک زندگی سالم
رژیم غذایی سرشار از کلسیم و ویتامین D، خواب کافی و کاهش استرس، همگی در بهبود متابولیسم استخوان مؤثر هستند. در صورت مشاهده هرگونه درد یا محدودیت حرکتی، پیگیری پزشکی و انجام بررسیهای تشخیصی ضروری است.
روشهای غیرجراحی در درمان نکروز آواسکولار
داروهای ضد درد و محافظ استخوان
داروهای ضدالتهاب غیر استروئیدی میتوانند به کاهش درد و التهاب کمک کنند. در برخی بیماران، داروهای مخصوص حفظ تراکم استخوان مانند بیسفسفوناتها برای کند کردن روند پیشرفت نکروز آواسکولار تجویز میشوند. مصرف این داروها باید حتماً تحت نظر پزشک انجام شود.
فیزیوتراپی و تمرینات هدفمند
فیزیوتراپی با هدف حفظ دامنه حرکتی مفصل و تقویت عضلات اطراف استخوان آسیبدیده انجام میشود. این تمرینات به بهبود خونرسانی کمک کرده و از پیشرفت تخریب استخوان جلوگیری میکنند. انجام حرکات باید کنترلشده و مطابق نظر متخصص باشد.
تحریک الکتریکی استخوان
در برخی موارد، از تحریک الکتریکی برای کمک به رشد استخوان جدید استفاده میشود. این روش بیشتر در مراحل اولیه نکروز آواسکولار کاربرد دارد و معمولاً همراه با سایر درمانهای محافظهکارانه انجام میشود.
مقایسه روشهای جراحی و غیرجراحی در نکروز آواسکولار
چه زمانی درمان غیرجراحی کافی است؟
در مراحل اولیه نکروز آواسکولار، زمانی که تخریب استخوان محدود است و درد با دارو و فیزیوتراپی کنترل میشود، درمان غیرجراحی میتواند مؤثر باشد. هدف اصلی در این مرحله، حفظ استخوان طبیعی و جلوگیری از پیشرفت بیماری است.
چه زمانی جراحی لازم است؟
در صورت تخریب شدید استخوان، درد غیرقابل کنترل و محدودیت جدی حرکت، جراحی ضرورت پیدا میکند. بسته به شدت آسیب، روشهایی مانند پیوند استخوان، استئوتومی یا تعویض مفصل ممکن است انجام شود. جراحی میتواند درد شدید را کاهش داده و عملکرد مفصل را تا حد زیادی بازگرداند، هرچند دوره نقاهت طولانیتر و ریسک بیشتری دارد.
نکات مهم برای انتخاب روش درمان
انتخاب روش مناسب درمان نکروز آواسکولار به عواملی مانند شدت بیماری، سن بیمار، سطح فعالیت و وضعیت کلی سلامت استخوان بستگی دارد. تصمیمگیری نهایی باید با بررسی دقیق مزایا و معایب هر روش و مشورت با پزشک متخصص انجام شود.